No.396: 目の下の膨らみと凹みラインが混在した方に DR近藤オリジナル 切らない目の下のクマ・たるみ取り + ラディエッセ注入 (TCB-R 法)
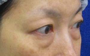
- 施術前

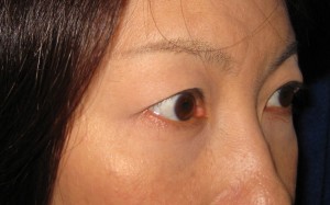
- 施術後

40 代女性です。
目の下の膨らみと凹みが 混在した方ですが
私のTCB-R コンプリート法を お受けになった直後です。
(TCBの手術後 3週で ラディエッセ注入をした3週後です)
ご覧のように お綺麗になりました。
私の 切らない目の下のたるみ取りは 俗に言う 「脱脂」ではありません。
手術顕微鏡を用い ご自身の皮膚の再生能力を引き出す 治療なのです。
また 繊細で計画的な手術に ラディエッセの コラーゲン産生刺激効果を加えることで
「脂肪を減らしたら くぼんで しわしわになる」という
誤解を 払拭できると 考えております。
ーーーーーーーーーーーーーーーーーーーーーーーーーー
毎日お顔のご相談を受け治療させていただく中で、「目の下の クマ・たるみ・シワ」は、
やはり最も 切実な悩みであることを実感しております。
私の場合、基本的にその治療は、膨らみ(凸み)であれば、
「DR近藤 オリジナル 切らない目の下のたるみ取り 自己再生TCB」
窪み(凹み)であれば、「脂肪注入 または ラディエッセ注入」を
ご縁を戴いた全国の皆さんに施術させていただいております。
しかし、目の下の悩みは千差万別、お一人お一人違います。
特に膨らみとその下の窪みライン(凸みと凹み)が 混在したタイプの患者さんは、
実際には非常に多く見受けられます。
そして、この混合タイプの患者さんを、如何に綺麗にして満足していただくかが、
私に与えられた使命であり。
そして、かなりの完成度・満足度を提供できる治療法「DR近藤オリジナル TCB-R SO コンプリート法」
の確立に至りました。
この方法は
まず、目の下の膨らみには「DR.近藤オリジナル 切らない目の下のクマ・たるみ取り」
+ 3週後に PRP血小板療法 を
さらにその2週間後下部の凹みラインを改善すべく
「ラディエッセ注入」を行う方法です。
(脂肪を減らす部位と ラディエッセを注入する部位は 異なります)
つまり、TCBとラディエッセ注入を組み合わせ、たるみ・シワ・凹みを総合的に改善する治療なのです。
なお目の下のラディエッセ注入はその施術にコツと経験が必要ですが、
多くの経験を重ねるうちに、単なる凹み修正ではなく、
そのコラーゲン産生刺激作用により 皮膚の性状を変化させ、
おシワの改善効果を出せることを実感しております。
タグ: TCB, TCB-R, ラディエッセ注入, 目の下, 自己再生